

貨號
產品規格
售價
備注
BN41739R-50ul
50ul
¥1486.00
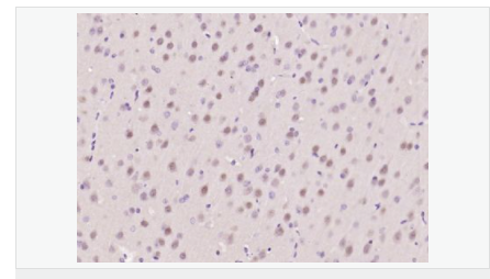
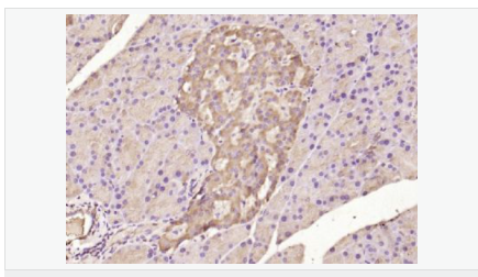
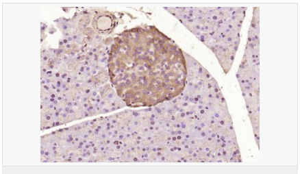
交叉反應:Human,Mouse,Rat(predicted:Pig,Cow,Horse,Rabbit) 推薦應用:WB,IHC-P,IHC-F,ICC,IF,Flow-Cyt,ELISA
BN41739R-100ul
100ul
¥2360.00
交叉反應:Human,Mouse,Rat(predicted:Pig,Cow,Horse,Rabbit) 推薦應用:WB,IHC-P,IHC-F,ICC,IF,Flow-Cyt,ELISA
BN41739R-200ul
200ul
¥3490.00
交叉反應:Human,Mouse,Rat(predicted:Pig,Cow,Horse,Rabbit) 推薦應用:WB,IHC-P,IHC-F,ICC,IF,Flow-Cyt,ELISA
產品描述
| 英文名稱 | ATF6 |
| 中文名稱 | 活化轉錄因子6抗體 |
| 別 名 | Activating transcription factor 6 alpha; Activating transcription factor 6; ATF 6; ATF6 alpha; ATF6; ATF6-alpha; ATF6A; ATF6A_HUMAN; cAMP dependent transcription factor ATF 6 alpha; cAMP-dependent transcription factor ATF-6 alpha; Cyclic AMP dependent transcription factor ATF 6 alpha; DKFZp686P2194; ESTM49; FLJ21663; Processed cyclic AMP dependent transcription factor ATF 6 alpha; Processed cyclic AMP-dependent transcription factor ATF-6 alpha |
| 研究領域 | 染色質和核信號 表觀遺傳學 |
| 抗體來源 | Rabbit |
| 克隆類型 | Polyclonal |
| 交叉反應 | Human, Mouse, Rat, (predicted: Pig, Cow, Horse, Rabbit, ) |
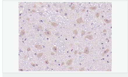
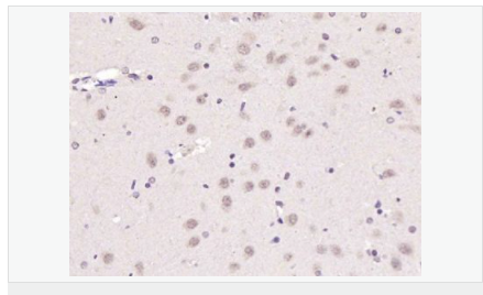
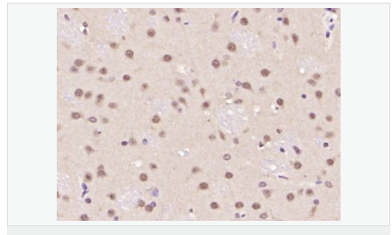
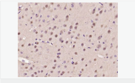
| 產品應用 | WB=1:500-2000 ELISA=1:5000-10000 IHC-P=1:100-500 IHC-F=1:100-500 Flow-Cyt=1μg /test IF=1:100-500 (石蠟切片需做抗原修復) not yet tested in other applications. optimal dilutions/concentrations should be determined by the end user. |
| 分 子 量 | 75kDa |
| 細胞定位 | 細胞核 細胞漿 |
| 性 狀 | Liquid |
| 濃 度 | 1mg/ml |
| 免 疫 原 | KLH conjugated synthetic peptide derived from human ATF6:301-400/670 |
| 亞 型 | IgG |
| 純化方法 | affinity purified by Protein A |
| 儲 存 液 | 0.01M TBS(pH7.4) with 1% BSA, 0.03% Proclin300 and 50% Glycerol. |
| 保存條件 | Shipped at 4℃. Store at -20 °C for one year. Avoid repeated freeze/thaw cycles. |
| PubMed | PubMed |
| 產品介紹 | ATF6 is a transcription factor that acts during endoplasmic reticulum stress by activating unfolded protein response target genes. It binds DNA on the 5'-CCAC[GA]-3'half of the ER stress response element (ERSE) (5'-CCAAT-N(9)-CCAC[GA]-3') and of ERSE II (5'-ATTGG-N-CCACG-3'). Binding to ERSE requires binding of NF-Y to ERSE. ATF6 could also be involved in activation of transcription by the serum response factor. ATF6 exists as a homodimer and heterodimer with ATF6 beta. The dimer interacts with the nuclear transcription factor Y (NF-Y) trimer through direct binding to NF-Y subunit C (NF-YC). It also interacts with the transcription factors GTF2I, YY1 and SRF. Under ER stress the cleaved N-terminal cytoplasmic domain translocates into the nucleus. The basic domain of ATF6 functions as a nuclear localization signal and the basic leucine zipper domain is sufficient for association with the NF-Y trimer and binding to ERSE. During the unfolded protein response an approximately 50 kDa fragment containing the cytoplasmic transcription factor domain is released by proteolysis. The cleavage seems to be performed sequentially by site 1 and site 2 proteases. ATF6 is N glycosylated, phosphorylated in vitro by MAPK14/P38MAPK and belongs to the bZIP family. Function: Transcription factor that acts during endoplasmic reticulum stress by activating unfolded protein response target genes. Binds DNA on the 5'-CCAC[GA]-3'half of the ER stress response element (ERSE) (5'-CCAAT-N(9)-CCAC[GA]-3') and of ERSE II (5'-ATTGG-N-CCACG-3'). Binding to ERSE requires binding of NF-Y to ERSE. Could also be involved in activation of transcription by the serum response factor. Subunit: Homodimer and heterodimer with ATF6-beta. The dimer interacts with the nuclear transcription factor Y (NF-Y) trimer through direct binding to NF-Y subunit C (NF-YC). Interacts also with the transcription factors GTF2I, YY1 and SRF. Subcellular Location: Endoplasmic reticulum membrane; Single-pass type II membrane protein. Processed cyclic AMP-dependent transcription factor ATF-6 alpha: Nucleus. Note=Under ER stress the cleaved N-terminal cytoplasmic domain translocates into the nucleus. Tissue Specificity: Ubiquitous. Post-translational modifications: During unfolded protein response an approximative 50 kDa fragment containing the cytoplasmic transcription factor domain is released by proteolysis. The cleavage seems to be performed sequentially by site-1 and site-2 proteases. N-glycosylated. The glycosylation status may serve as a sensor for ER homeostasis, resulting in ATF6 activation to trigger the unfolded protein response (UPR). Phosphorylated in vitro by MAPK14/P38MAPK. Similarity: Belongs to the bZIP family. ATF subfamily. Contains 1 bZIP (basic-leucine zipper) domain. SWISS: P18850 Gene ID: 22926 Database links: Entrez Gene: 22926 Human Entrez Gene: 226641 Mouse Omim: 605537 Human SwissProt: P18850 Human Unigene: 492740 Human Important Note: This product as supplied is intended for research use only, not for use in human, therapeutic or diagnostic applications. |
















