

貨號
產品規格
售價
備注
BN41613R-50ul
50ul
¥1486.00
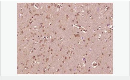
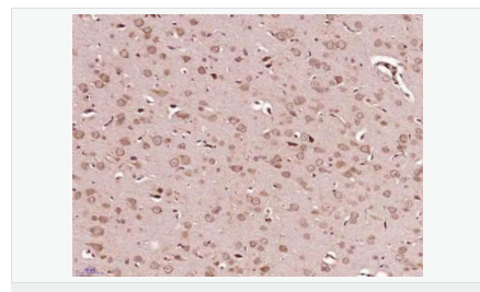
交叉反應:Human,Mouse(predicted:Rat,Rabbit) 推薦應用:WB,IHC-P,IHC-F,ICC,IF,Flow-Cyt,ELISA
BN41613R-100ul
100ul
¥2360.00
交叉反應:Human,Mouse(predicted:Rat,Rabbit) 推薦應用:WB,IHC-P,IHC-F,ICC,IF,Flow-Cyt,ELISA
BN41613R-200ul
200ul
¥3490.00
交叉反應:Human,Mouse(predicted:Rat,Rabbit) 推薦應用:WB,IHC-P,IHC-F,ICC,IF,Flow-Cyt,ELISA
產品描述
| 英文名稱 | PDGF-A |
| 中文名稱 | 血小板源性生長因子A抗體 |
| 別 名 | Platelet–dirived growth factor–1; PDGFA; PDGF AA; PDGF-AA; PDGF A chain; PDGF subunit A; PDGF-1; PDGF1; PDGFA; PDGFA_HUMAN; Platelet derived growth factor A chain precursor; Platelet derived growth factor alpha polypeptide; Platelet-derived growth factor A chain; Platelet-derived growth factor alpha polypeptide; Platelet-derived growth factor subunit A. |
| 研究領域 | 腫瘤 免疫學 神經生物學 生長因子和激素 |
| 抗體來源 | Rabbit |
| 克隆類型 | Polyclonal |
| 交叉反應 | Human, Mouse, (predicted: Rat, Rabbit, ) |
| 產品應用 | WB=1:500-2000 ELISA=1:5000-10000 IHC-P=1:100-500 IHC-F=1:100-500 Flow-Cyt=0.2μg/Test ICC=1:100-500 IF=1:100-500 (石蠟切片需做抗原修復) not yet tested in other applications. optimal dilutions/concentrations should be determined by the end user. |
| 分 子 量 | 14kDa |
| 細胞定位 | 分泌型蛋白 |
| 性 狀 | Liquid |
| 濃 度 | 1mg/ml |
| 免 疫 原 | KLH conjugated synthetic peptide derived from human PDGF-A:102-213/213 |
| 亞 型 | IgG |
| 純化方法 | affinity purified by Protein A |
| 儲 存 液 | 0.01M TBS(pH7.4) with 1% BSA, 0.03% Proclin300 and 50% Glycerol. |
| 保存條件 | Shipped at 4℃. Store at -20 °C for one year. Avoid repeated freeze/thaw cycles. |
| PubMed | PubMed |
| 產品介紹 | Platelet-derived growth factor is a potent mitogen for cells of mesenchymal origin. Binding of this growth factor to its affinity receptor elicits a variety of cellular responses. It is released by platelets upon wounding and plays an important role in stimulating adjacent cells to grow and thereby heal the wound. Antiparallel disulfide-linked dimer of nonidentical (A and B) chains. Homodimers of A and B chains are implicated in transformation processes. The long form contains a basic insert which acts as a cell retention signal. A-A and B-B, as well as A-B, dimers can bind to the PDGF receptor. It belongs to the PDGF/VEGF growth factor family. Function: Growth factor that plays an essential role in the regulation of embryonic development, cell proliferation, cell migration, survival and chemotaxis. Potent mitogen for cells of mesenchymal origin. Required for normal lung alveolar septum formation during embryogenesis, normal development of the gastrointestinal tract, normal development of Leydig cells and spermatogenesis. Required for normal oligodendrocyte development and normal myelination in the spinal cord and cerebellum. Plays an important role in wound healing. Signaling is modulated by the formation of heterodimers with PDGFB. Subunit: Homodimer; antiparallel disulfide-linked dimer. Heterodimer with PDGFB; antiparallel disulfide-linked dimer. The PDGFA homodimer interacts with PDGFRA homodimers, and with heterodimers formed by PDGFRA and PDGFRB. The heterodimer composed of PDGFA and PDGFB interacts with PDGFRA homodimers, and with heterodimers formed by PDGFRA and PDGFRB. Interacts with CSPG4. Subcellular Location: Secreted. Note=Released by platelets upon wounding. Tissue Specificity: Platelet-derived growth factor is a potent mitogen for cells of mesenchymal origin. Binding of this growth factor to its receptor elicits a variety of cellular responses. It is released by platelets upon wounding and plays an important role in stimulating adjacent cells to grow and thereby heals the wound. Similarity: Belongs to the PDGF/VEGF growth factor family. SWISS: P01127 Gene ID: 5154 Database links: Entrez Gene: 5154 Human Entrez Gene: 5155 Human Entrez Gene: 18590 Mouse Entrez Gene: 18591 Mouse Omim: 173430 Human Omim: 190040 Human SwissProt: P01127 Human SwissProt: P04085 Human SwissProt: P20033 Mouse SwissProt: P31240 Mouse Important Note: This product as supplied is intended for research use only, not for use in human, therapeutic or diagnostic applications. PDGF-A(platelet-dirived growth factor-A)是一種堿性蛋白,pdgf促進細胞分裂、增值同時,可誘導c-fos、c-myc等蛋白表達增強。 主要作用:參與組織和血管修復、促進平滑肌細胞、成纖維細胞迅速增值。分子量為28-35kDa,分為兩個亞基(A、B鏈)通過二硫鍵結合而成的兩條多肽鏈的異二聚體。最新研究發現了PDGF家族兩種新的基因PDGF-C、PDGF-D。 |



