

貨號
產品規格
售價
備注
BN41530R-50ul
50ul
¥1486.00
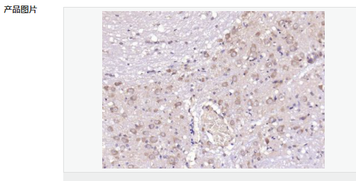
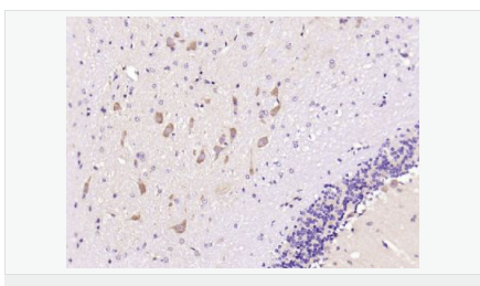
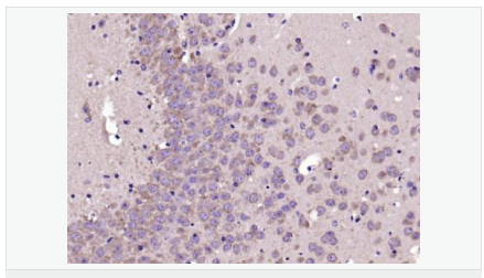
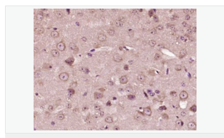
交叉反應:Human,Mouse,Rat(predicted:Dog,Pig,Rabbit,GuineaPig) 推薦應用:IHC-P,IHC-F,IF,ELISA
BN41530R-100ul
100ul
¥2360.00
交叉反應:Human,Mouse,Rat(predicted:Dog,Pig,Rabbit,GuineaPig) 推薦應用:IHC-P,IHC-F,IF,ELISA
BN41530R-200ul
200ul
¥3490.00
交叉反應:Human,Mouse,Rat(predicted:Dog,Pig,Rabbit,GuineaPig) 推薦應用:IHC-P,IHC-F,IF,ELISA
產品描述
| 英文名稱 | CRF |
| 中文名稱 | 促腎上腺皮質激素釋放因子/促腎上皮質激素釋放激素抗體 |
| 別 名 | Corticoliberin; Corticoliberin precursor; Corticotropin releasing factor; Corticotropin releasing hormone; Corticotropin releasing hormone deficiency included; crf; crh; crh deficiency included; corticoliberin preproprotein; CRF_HUMAN; Corticotropin-releasing factor; CRH1; CRH; Corticotropin-releasing hormone. |
| 研究領域 | 神經生物學 |
| 抗體來源 | Rabbit |
| 克隆類型 | Polyclonal |
| 交叉反應 | Mouse, Rat, (predicted: Human, Dog, Pig, Rabbit, Guinea Pig, ) |
| 產品應用 | ELISA=1:5000-10000 IHC-P=1:100-500 IHC-F=1:100-500 IF=1:200-800 (石蠟切片需做抗原修復) not yet tested in other applications. optimal dilutions/concentrations should be determined by the end user. |
| 分 子 量 | 5/22kDa |
| 細胞定位 | 分泌型蛋白 |
| 性 狀 | Liquid |
| 濃 度 | 1mg/ml |
| 免 疫 原 | KLH conjugated synthetic peptide derived from human CRF:145-185/196 |
| 亞 型 | IgG |
| 純化方法 | affinity purified by Protein A |
| 儲 存 液 | 0.01M TBS(pH7.4) with 1% BSA, 0.03% Proclin300 and 50% Glycerol. |
| 保存條件 | Shipped at 4℃. Store at -20 °C for one year. Avoid repeated freeze/thaw cycles. |
| PubMed | PubMed |
| 產品介紹 | This gene encodes a member of the corticotropin-releasing factor family. The encoded preproprotein is proteolytically processed to generate the mature neuropeptide hormone. In response to stress, this hormone is secreted by the paraventricular nucleus (PVN) of the hypothalamus, binds to corticotropin releasing hormone receptors and stimulates the release of adrenocorticotropic hormone from the pituitary gland. Marked reduction in this protein has been observed in association with Alzheimer's disease. Autosomal recessive hypothalamic corticotropin deficiency has multiple and potentially fatal metabolic consequences including hypoglycemia and hepatitis. In addition to production in the hypothalamus, this protein is also synthesized in peripheral tissues, such as T lymphocytes, and is highly expressed in the placenta. In the placenta it is a marker that determines the length of gestation and the timing of parturition and delivery. A rapid increase in circulating levels of the hormone occurs at the onset of parturition, suggesting that, in addition to its metabolic functions, this protein may act as a trigger for parturition. [provided by RefSeq, Nov 2015] Function: This hormone from hypothalamus regulates the release of corticotropin from pituitary gland. Subunit: Interacts (via C-terminus) with CRFR1 (via N-terminal extracellular domain). Subcellular Location: Secreted. Similarity: Belongs to the sauvagine/corticotropin-releasing factor/urotensin I family. SWISS: P06850 Gene ID: 1392 Database links: Entrez Gene: 1392 Human Entrez Gene: 12918 Mouse Omim: 122560 Human SwissProt: P06850 Human SwissProt: Q8CIT0 Mouse Unigene: 75294 Human Unigene: 290689 Mouse Unigene: 10349 Rat Important Note: This product as supplied is intended for research use only, not for use in human, therapeutic or diagnostic applications. CRF陽性神經元的胞體廣泛分布于下丘腦的室旁核、背縫核和藍斑核,這些區域也是去甲腎上腺素(NE)神經元與5-羥色胺(5-HT)神經元密集的區域。 CRF既具有神經遞質的性質又具有神經激素的性質。CRF是聯系神經系統與內分泌系統的橋梁,在情感障礙疾患如焦慮和抑郁的發病中發揮重要作用. |








