

貨號
產品規格
售價
備注
BN41511R-50ul
50ul
¥1022.00
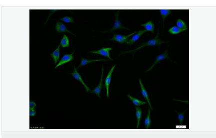
交叉反應:Human,Mouse,Rat,Pig(predicted:Cow) 推薦應用:WB,IHC-P,IHC-F,ICC,IF,Flow-Cyt,ELISA
BN41511R-100ul
100ul
¥1360.00
交叉反應:Human,Mouse,Rat,Pig(predicted:Cow) 推薦應用:WB,IHC-P,IHC-F,ICC,IF,Flow-Cyt,ELISA
產品描述
| 英文名稱 | beta Tubulin (Loading Control) |
| 中文名稱 | 微管蛋白抗體 |
| 別 名 | Beta 4 tubulin; Tubulin-beta; Tubulin beta; Beta 5 tubulin; BetaTubulin; Beta-Tubulin; dJ40E16.7; TUBB; TUBB2; TUBB2A; TUBB5; tubulin beta 2A; Tubulin beta chain; Tubulin beta-5 chain; TUBB4A; TUBB4; Tubulin 5 beta; Tubulin beta-4 chain; TBB4A_HUMAN; Tubulin beta-4A chain. |
| 研究領域 | 細胞生物 免疫學 信號轉導 細胞骨架 |
| 抗體來源 | Rabbit |
| 克隆類型 | Polyclonal |
| 交叉反應 | Human, Mouse, Rat, Pig, (predicted: Cow, ) |
| 產品應用 | WB=1:500-2000 ELISA=1:5000-10000 IHC-P=1:100-500 IHC-F=1:100-500 Flow-Cyt=1μg/Test ICC=1:100 IF=1:100-500 (石蠟切片需做抗原修復) not yet tested in other applications. optimal dilutions/concentrations should be determined by the end user. |
| 分 子 量 | 50kDa |
| 細胞定位 | 細胞漿 |
| 性 狀 | Liquid |
| 濃 度 | 1mg/ml |
| 免 疫 原 | KLH conjugated synthetic peptide derived from human Tubulin-beta:1-50/444 |
| 亞 型 | IgG |
| 純化方法 | affinity purified by Protein A |
| 儲 存 液 | 0.01M TBS(pH7.4) with 1% BSA, 0.03% Proclin300 and 50% Glycerol. |
| 保存條件 | Shipped at 4℃. Store at -20 °C for one year. Avoid repeated freeze/thaw cycles. |
| PubMed | PubMed |
| 產品介紹 | Microtubules are constituent parts of the mitotic apparatus, cilia, flagella, and elements of the cytoskeleton. They consist principally of 2 soluble proteins, alpha- and beta-tubulin, each of about 55,000 kDa. Antibodies against beta Tubulin are useful as loading controls for Western Blotting. However it should be noted that levels of beta Tubulin may not be stable in certain cells. For example, expression of tubulin in adipose tissue is very low (Spiegelman and Farmer, Cell, 1982, 29(1):53-60) and therefore beta Tubulin should not be used as loading control for these tissues. Function: Tubulin is the major constituent of microtubules. It binds two moles of GTP, one at an exchangeable site on the beta chain and one at a non-exchangeable site on the alpha-chain. Subunit: Dimer of alpha and beta chains. May interact with RNABP10. Interacts with PIFO. Interacts with MX1. Subcellular Location: Cytoplasm, cytoskeleton. Tissue Specificity: Ubiquitously expressed with highest levels in spleen, thymus and immature brain. Post-translational modifications: Some glutamate residues at the C-terminus are polyglutamylated. This modification occurs exclusively on glutamate residues and results in polyglutamate chains on the gamma-carboxyl group. Also monoglycylated but not polyglycylated due to the absence of functional TTLL10 in human. Monoglycylation is mainly limited to tubulin incorporated into axonemes (cilia and flagella) whereas glutamylation is prevalent in neuronal cells, centrioles, axonemes, and the mitotic spindle. Both modifications can coexist on the same protein on adjacent residues, and lowering glycylation levels increases polyglutamylation, and reciprocally. The precise function of such modifications is still unclear but they regulate the assembly and dynamics of axonemal microtubules. Similarity: Belongs to the tubulin family. SWISS: P07437 Gene ID: 203068 Database links: Entrez Gene: 396254 Chicken Entrez Gene: 203068 Human Omim: 191130 Human SwissProt: P07437 Human SwissProt: P99024 Mouse Unigene: 636480 Human Unigene: 706187 Human Unigene: 714425 Human Important Note: This product as supplied is intended for research use only, not for use in human, therapeutic or diagnostic applications. 結構蛋白(Structural Proteins) tubulin是一種大量存在于哺乳動物腦組織中的微管亞基蛋白,在結構上是由兩個極為相近的α和β亞基組成的二聚體、多聚體形成微管細絲,是微管的主要成分。 微管蛋白是球形分子, 有兩種類型:α微管蛋白(α-tubulin)貨號:bs-0195R和β微管蛋白(β-tubulin), 這兩種微管蛋白具有相似的三維結構, 能夠緊密地結合成二聚體, 作為微管組裝的亞基。 α亞基由450個氨基酸組成, β亞基是由455個氨基酸組成, 這兩種亞基有35~40%的氨基酸序列同源, 表明編碼它們的基因可能是由同一原始祖先演變而來。 |





