

貨號
產品規格
售價
備注
BN40892R-100ul
100ul
¥2470.00
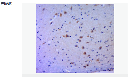
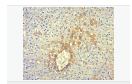
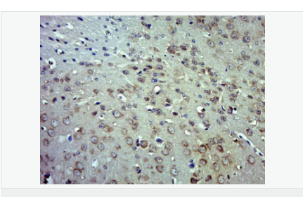
交叉反應:Human,Mouse,Rat(predicted:Dog,Pig,Cow,Rabbit,GuineaPig) 推薦應用:IHC-P,IHC-F,IF,Flow-Cyt,ELISA
產品描述
| 英文名稱 | Phospho-MLK3 (Thr277 + Ser281) |
| 中文名稱 | 磷酸化絲氨酸/蘇氨酸蛋白激酶MLK3抗體 |
| 別 名 | MLK3 (phospho T277 + S281); MEKK11; MGC17114; Mitogen-activated protein kinase kinase kinase 11; Mixed lineage kinase 3; Mixed lineage protein kinase 3; Mlk-3; Mlk3; Protein tyrosine kinase PTK1; PTK1; RHOE; SH3 domain containing proline rich kinase; SPRK; Src-homology 3 domain-containing proline-rich kinase; 2610017K16Rik; EC 2.7.11.25; M3K11_HUMAN. |
| 產品類型 | 磷酸化抗體 |
| 研究領域 | 免疫學 神經生物學 信號轉導 細胞凋亡 轉錄調節因子 激酶和磷酸酶 |
| 抗體來源 | Rabbit |
| 克隆類型 | Polyclonal |
| 交叉反應 | Human, Mouse, Rat, (predicted: Dog, Pig, Cow, Rabbit, Guinea Pig, ) |
| 產品應用 | ELISA=1:5000-10000 IHC-P=1:100-500 IHC-F=1:100-500 Flow-Cyt=1ug/Test IF=1:100-500 (石蠟切片需做抗原修復) not yet tested in other applications. optimal dilutions/concentrations should be determined by the end user. |
| 分 子 量 | 93kDa |
| 細胞定位 | 細胞漿 |
| 性 狀 | Liquid |
| 濃 度 | 1mg/ml |
| 免 疫 原 | KLH conjugated synthesised phosphopeptide derived from human MLK3 around the phosphorylation site of Thr277/Ser281:K(p-T)TQM(p-S)AA |
| 亞 型 | IgG |
| 純化方法 | affinity purified by Protein A |
| 儲 存 液 | 0.01M TBS(pH7.4) with 1% BSA, 0.03% Proclin300 and 50% Glycerol. |
| 保存條件 | Shipped at 4℃. Store at -20 °C for one year. Avoid repeated freeze/thaw cycles. |
| PubMed | PubMed |
| 產品介紹 | Members of the mixed-lineage kinase (MLK) family (including MLK1, MLK2, MLK3, and dual leucine zipper kinase [DLK]) are serine/threonine protein kinases that are expressed in multiple cell types. MLK3 is activated by phosphorylation in response to stress stimuli (e.g., inflammatory responses, UV, chemical stress) that are coupled to the small GTPase, Cdc42/rac. MLK3 is a multifunctional kinase that plays an essential role in several signaling pathways, including mitogen-activated protein kinase (i.e. activation of JNK and p38), IkappaB/NFkappaB, and p70 S6 kinase. Indeed MLK3 signaling occurs through multiple signaling domains in this protein kinase including (from N- to C-terminal) a glycine-rich domain, Src homology 3 (SH3) domain, a kinase domain, a zipper domain, a Cdc42/rac interactive binding (CRIB) domain and a Pro/Ser/Thr-rich domain. Phosphorylation of MLK3 occurs on multiple residues including threonine 277 and serine 281 within the activation loop of the kinase domain. Function: Activates the JUN N-terminal pathway. Required for serum-stimulated cell proliferation and for mitogen and cytokine activation of MAPK14 (p38), MAPK3 (ERK) and MAPK8 (JNK1). Plays a role in mitogen-stimulated phosphorylation and activation of BRAF, but does not phosphorylate BRAF directly. Influences microtubule organization during the cell cycle. Subunit: Homodimer; undergoes dimerization during activation. Subcellular Location: Cytoplasm, cytoskeleton, centrosome. Note=Location is cell cycle dependent. Tissue Specificity: Expressed in a wide variety of normal and neoplastic tissues including fetal lung, liver, heart and kidney, and adult lung, liver, heart, kidney, placenta, skeletal muscle, pancreas and brain. Post-translational modifications: Autophosphorylation on serine and threonine residues within the activation loop plays a role in enzyme activation. Thr-277 is likely to be the main autophosphorylation site. Phosphorylation of Ser-555 and Ser-556 is induced by CDC42. Similarity: Belongs to the protein kinase superfamily. STE Ser/Thr protein kinase family. MAP kinase kinase kinase subfamily. Contains 1 protein kinase domain. Contains 1 SH3 domain. SWISS: Q16584 Gene ID: 4296 Database links: Entrez Gene: 4296 Human Entrez Gene: 26403 Mouse Omim: 600050 Human SwissProt: Q16584 Human SwissProt: Q6P2G4 Human SwissProt: Q80XI6 Mouse Unigene: 502872 Human Unigene: 185026 Mouse Important Note: This product as supplied is intended for research use only, not for use in human, therapeutic or diagnostic applications. MLK3是JNK蛋白上游的重要活化因子,通過直接磷酸化并激活中游MKK4/7蛋白激酶,從而激活JNK應激信號通路。 |




