

貨號
產品規格
售價
備注
BN40855R-100ul
100ul
¥2470.00
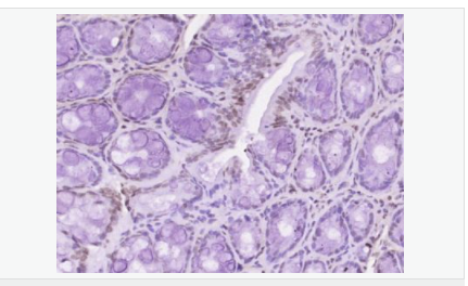
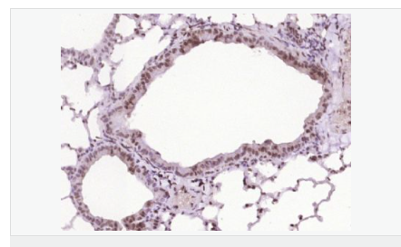
交叉反應:Human,Mouse(predicted:Rat,Pig,Cow,Horse,Rabbit) 推薦應用:IHC-P,IHC-F,IF,Flow-Cyt,ELISA
產品描述
| 英文名稱 | Phospho-BTK (Tyr223) |
| 中文名稱 | 磷酸化酪氨酸蛋白激酶BTK抗體 |
| 別 名 | BTK (phospho Y223); p-BTK (phospho Y223); Agammaglobulinaemia tyrosine kinase; AGMX 1; AGMX1; AT; ATK; B cell progenitor kinase; B-cell progenitor kinase; BPK; Bruton agammaglobulinemia tyrosine kinase; Bruton tyrosine kinase; Bruton’s Tyrosine Kinase; Btk; BTK_HUMAN; IMD 1; IMD1; MGC126261; MGC126262; OTTHUMP00000063593; PSCTK 1; PSCTK1; Tyrosine protein kinase BTK; Tyrosine-protein kinase BTK; XLA. |
| 產品類型 | 磷酸化抗體 |
| 研究領域 | 細胞生物 神經生物學 信號轉導 細胞凋亡 激酶和磷酸酶 細胞分化 |
| 抗體來源 | Rabbit |
| 克隆類型 | Polyclonal |
| 交叉反應 | Human, Mouse, (predicted: Rat, Pig, Cow, Horse, Rabbit, ) |
| 產品應用 | ELISA=1:5000-10000 IHC-P=1:100-500 IHC-F=1:100-500 Flow-Cyt=1ug/test ICC=1:100-500 IF=1:100-500 (石蠟切片需做抗原修復) not yet tested in other applications. optimal dilutions/concentrations should be determined by the end user. |
| 分 子 量 | 76kDa |
| 細胞定位 | 細胞核 細胞漿 細胞膜 |
| 性 狀 | Liquid |
| 濃 度 | 1mg/ml |
| 免 疫 原 | KLH conjugated Synthesised phosphopeptide derived from human Btk around the phosphorylation site of Tyr223:AL(p-Y)DY |
| 亞 型 | IgG |
| 純化方法 | affinity purified by Protein A |
| 儲 存 液 | 0.01M TBS(pH7.4) with 1% BSA, 0.03% Proclin300 and 50% Glycerol. |
| 保存條件 | Shipped at 4℃. Store at -20 °C for one year. Avoid repeated freeze/thaw cycles. |
| PubMed | PubMed |
| 產品介紹 | Brutons tyrosine kinase (BTK) is a member of the BTK/Tec family of cytoplasmic tyrosine kinases. Like other BTK family members, it contains a pleckstrin homology (PH) domain, Src homology SH3 and SH2 domains. BTK plays an important role in B cell development. Activation of B cells by various ligands is accompanied by BTK membrane translocation mediated by its PH domain binding to phosphatidylinositol-3,4,5-trisphosphate. The membrane located BTK is active and associated with transient phosphorylation of two tyrosine residues, Tyr551 and Tyr223. Tyr551 in the activation loop is transphosphorylated by the Src family tyrosine kinase, leading to autophosphorylation at Tyr223 within the SH3 domain, which is necessary for full activation. The activation of BTK is negatively regulated by PKC beta through phosphorylation of BTK at Ser180, which results in reduced membrane recruitment, transphosphorylation and subsequent activation. The PKC/BTK inhibitory signal is likely to be a key determinant of the B cell receptor signaling threshold to maintain optimal BTK activity. Function: Non-receptor tyrosine kinase indispensable for B lymphocyte development, differentiation and signaling. Binding of antigen to the B-cell antigen receptor (BCR) triggers signaling that ultimately leads to B-cell activation. After BCR engagement and activation at the plasma membrane, phosphorylates PLCG2 at several sites, igniting the downstream signaling pathway through calcium mobilization, followed by activation of the protein kinase C (PKC) family members. PLCG2 phosphorylation is performed in close cooperation with the adapter protein B-cell linker protein BLNK. BTK acts as a platform to bring together a diverse array of signaling proteins and is implicated in cytokine receptor signaling pathways. Plays an important role in the function of immune cells of innate as well as adaptive immunity, as a component of the Toll-like receptors (TLR) pathway. The TLR pathway acts as a primary surveillance system for the detection of pathogens and are crucial to the activation of host defense. Especially, is a critical molecule in regulating TLR9 activation in splenic B-cells. Within the TLR pathway, induces tyrosine phosphorylation of TIRAP which leads to TIRAP degradation. BTK plays also a critical role in transcription regulation. Induces the activity of NF-kappa-B, which is involved in regulating the expression of hundreds of genes. BTK is involved on the signaling pathway linking TLR8 and TLR9 to NF-kappa-B. Transiently phosphorylates transcription factor GTF2I on tyrosine residues in response to BCR. GTF2I then translocates to the nucleus to bind regulatory enhancer elements to modulate gene expression. ARID3A and NFAT are other transcriptional target of BTK. BTK is required for the formation of functional ARID3A DNA-binding complexes. There is however no evidence that BTK itself binds directly to DNA. BTK has a dual role in the regulation of apoptosis. Subunit: Binds GTF2I through the PH domain. Interacts with SH3BP5 via the SH3 domain. Interacts with IBTK via its PH domain. Interacts with ARID3A, CAV1, FASLG, PIN1, TLR8 and TLR9. Subcellular Location: Cytoplasm. Cell membrane; Peripheral membrane protein. Nucleus. Note=In steady state, BTK is predominantly cytosolic. Following B-cell receptor (BCR) engagement by antigen, translocates to the plasma membrane through its PH domain. Plasma membrane localization is a critical step in the activation of BTK. A fraction of BTK also shuttles between the nucleus and the cytoplasm, and nuclear export is mediated by the nuclear export receptor CRM1. Tissue Specificity: Predominantly expressed in B lymphocytes. Post-translational modifications: Following B-cell receptor (BCR) engagement, translocates to the plasma membrane where it gets phosphorylated at Tyr-551 by LYN and SYK. Phosphorylation at Tyr-551 is followed by autophosphorylation of Tyr-223 which may create a docking site for a SH2 containing protein. Phosphorylation at Ser-180 by PRKCB, leads in translocation of BTK back to the cytoplasmic fraction. Phosphorylation at Ser-21 and Ser-115 creates a binding site for PIN1 at these Ser-Pro motifs, and promotes it's recruitment. DISEASE: Defects in BTK are the cause of X-linked agammaglobulinemia (XLA) [MIM:300755]; also known as X-linked agammaglobulinemia type 1 (AGMX1) or immunodeficiency type 1 (IMD1). XLA is a humoral immunodeficiency disease which results in developmental defects in the maturation pathway of B-cells. Affected boys have normal levels of pre-B-cells in their bone marrow but virtually no circulating mature B-lymphocytes. This results in a lack of immunoglobulins of all classes and leads to recurrent bacterial infections like otitis, conjunctivitis, dermatitis, sinusitis in the first few years of life, or even some patients present overwhelming sepsis or meningitis, resulting in death in a few hours. Treatment in most cases is by infusion of intravenous immunoglobulin. Defects in BTK may be the cause of X-linked hypogammaglobulinemia and isolated growth hormone deficiency (XLA-IGHD) [MIM:307200]; also known as agammaglobulinemia and isolated growth hormone deficiency or Fleisher syndrome or isolated growth hormone deficiency type 3 (IGHD3). In rare cases XLA is inherited together with isolated growth hormone deficiency (IGHD). Similarity: Belongs to the protein kinase superfamily. Tyr protein kinase family. TEC subfamily. Contains 1 Btk-type zinc finger. Contains 1 PH domain. Contains 1 protein kinase domain. Contains 1 SH2 domain. Contains 1 SH3 domain. SWISS: Q06187 Gene ID: 695 Database links: Entrez Gene: 695 Human Entrez Gene: 12229 Mouse Omim: 300300 Human SwissProt: Q06187 Human SwissProt: P35991 Mouse Unigene: 159494 Human Unigene: 4475 Mouse Important Note: This product as supplied is intended for research use only, not for use in human, therapeutic or diagnostic applications. |






