

貨號
產品規格
售價
備注
BN40800R-100ul
100ul
¥2360.00
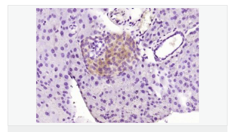
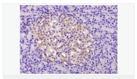
交叉反應:Mouse,Rat(predicted:Human,Dog,Pig,Horse,Rabbit,Sheep) 推薦應用:WB,IHC-P,IHC-F,IF,ELISA
BN40800R-200ul
200ul
¥3490.00
交叉反應:Mouse,Rat(predicted:Human,Dog,Pig,Horse,Rabbit,Sheep) 推薦應用:WB,IHC-P,IHC-F,IF,ELISA
產品描述
| 英文名稱 | SLC39A7 |
| 中文名稱 | 轉運蛋白家族39成員7抗體 |
| 別 名 | D6S115E; D6S2244E; H2 KE4; Histidine rich membrane protein Ke4; Histidine-rich membrane protein Ke4; HKE4; HLA class II region expressed gene KE4; KE4; Ke4 gene mouse, human homolog of; Really interesting new gene 5 protein; RING5; S39A7_HUMAN; SLC39A7; Solute carrier family 39 (zinc transporter), member 7; Solute carrier family 39 member 7; solute carrier family 39 zinc transporter member 7; Zinc transporter SLC39A7; ZIP7. |
| 研究領域 | 腫瘤 細胞生物 信號轉導 轉運蛋白 新陳代謝 |
| 抗體來源 | Rabbit |
| 克隆類型 | Polyclonal |
| 交叉反應 | Mouse, Rat, (predicted: Human, Dog, Pig, Horse, Rabbit, Sheep, ) |
| 產品應用 | WB=1:500-2000 ELISA=1:5000-10000 IHC-P=1:100-500 IHC-F=1:100-500 IF=1:100-500 (石蠟切片需做抗原修復) not yet tested in other applications. optimal dilutions/concentrations should be determined by the end user. |
| 分 子 量 | 50kDa |
| 細胞定位 | 細胞漿 |
| 性 狀 | Liquid |
| 濃 度 | 1mg/ml |
| 免 疫 原 | KLH conjugated synthetic peptide derived from human SLC39A7:201-300/469 |
| 亞 型 | IgG |
| 純化方法 | affinity purified by Protein A |
| 儲 存 液 | 0.01M TBS(pH7.4) with 1% BSA, 0.03% Proclin300 and 50% Glycerol. |
| 保存條件 | Shipped at 4℃. Store at -20 °C for one year. Avoid repeated freeze/thaw cycles. |
| PubMed | PubMed |
| 產品介紹 | Zinc is an essential cofactor for more than 50 classes of enzymes and is involved in protein, nucleic acid, carbohydrate, and lipid metabolism, plus the control of gene transcription, growth, development, and differentiation. Zinc cannot passively diffuse across cell membranes and requires specific transporters, such as SLC39A7, to enter the cytosol from both the extracellular environment and from intracellular storage compartments. Subcellular Location: Membrane; Multi-pass membrane protein (Probable). Tissue Specificity: Major expression in placenta, lung, kidney and pancreas. Similarity: Belongs to the ZIP transporter (TC 2.A.5) family. KE4/Catsup subfamily. SWISS: Q92504 Gene ID: 7922 Database links: Entrez Gene: 7922 Human Entrez Gene: 14977 Mouse Omim: 601416 Human SwissProt: Q92504 Human SwissProt: Q31125 Mouse Unigene: 631995 Human Unigene: 18556 Mouse Important Note: This product as supplied is intended for research use only, not for use in human, therapeutic or diagnostic applications. |



