

貨號
產品規格
售價
備注
BN40711R-100ul
100ul
¥2360.00
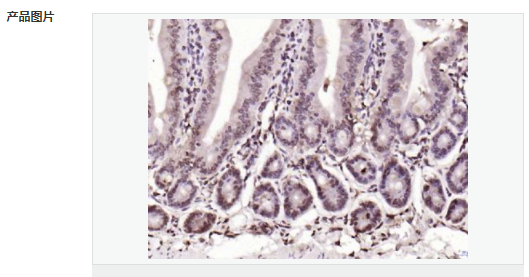
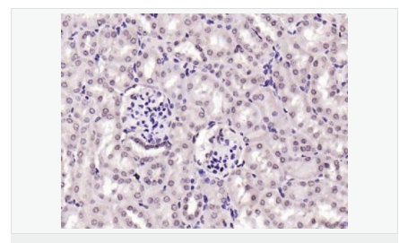
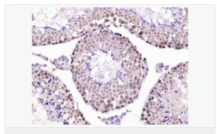
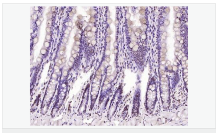
交叉反應:Mouse,Rat(predicted:Human,Pig,Horse,Rabbit) 推薦應用:IHC-P
BN40711R-200ul
200ul
¥3490.00
交叉反應:Mouse,Rat(predicted:Human,Pig,Horse,Rabbit) 推薦應用:IHC-P
產品描述
| 英文名稱 | BLM |
| 中文名稱 | Bloom綜合征相關蛋白抗體 |
| 別 名 | Blooms Syndrome Protein Blm; BLM; BLM_HUMAN; Bloom Syndrome; Bloom syndrome protein; Bloom syndrome RecQ helicase like; BS; DNA Helicase; DNA helicase RecQ like type 2; MGC126616; MGC131618; MGC131620; RECQ 2; RECQ like; RecQ like type 2; RecQ protein like 3; RecQ Protein-like 3; RECQ-2; RECQ-Like; RecQ-like type 2; RECQ2; RECQL 2; RECQL 3; RECQL-2; RECQL-3; RECQL2; RECQL3; type 2. |
| 研究領域 | 細胞生物 發育生物學 表觀遺傳學 |
| 抗體來源 | Rabbit |
| 克隆類型 | Polyclonal |
| 交叉反應 | Mouse, Rat, (predicted: Human, Pig, Horse, Rabbit, ) |
| 產品應用 | IHC-P=1:100-500 (石蠟切片需做抗原修復) not yet tested in other applications. optimal dilutions/concentrations should be determined by the end user. |
| 分 子 量 | 159kDa |
| 細胞定位 | 細胞核 |
| 性 狀 | Liquid |
| 濃 度 | 1mg/ml |
| 免 疫 原 | KLH conjugated synthetic peptide derived from human BLM:761-860/1417 |
| 亞 型 | IgG |
| 純化方法 | affinity purified by Protein A |
| 儲 存 液 | 0.01M TBS(pH7.4) with 1% BSA, 0.03% Proclin300 and 50% Glycerol. |
| 保存條件 | Shipped at 4℃. Store at -20 °C for one year. Avoid repeated freeze/thaw cycles. |
| PubMed | PubMed |
| 產品介紹 | Bloom’s syndrome is an autosomal recessive disorder characterized by pre- and post-natal growth deficiencies, sun sensitivity, immunodeficiency and a predisposition to various cancers. The gene responsible for Bloom’s syndrome, BLM, encodes a protein homologous to the RecQ helicase of E. coli and is mutated in most Bloom’s syndrome patients. One characteristic of Bloom’s syndrome is an increased frequency of sister chromatid exchange (SCE). BLM has been shown to unwind G4 DNA, and a failure of this function is thought to be responsible for the increased rate of SCE. BLM is known to be translocated to the nucleus, where its ATPase activity is stimulated by both single- and double-stranded DNA. Mutations in the yeast SGS1, a homolog of BLM, are known to cause mitotic hyperrecombination similiar to that observed in Bloom’s cells. Function: Participates in DNA replication and repair. Exhibits a magnesium-dependent ATP-dependent DNA-helicase activity that unwinds single- and double-stranded DNA in a 3'-5' direction. Subunit: Part of the BRCA1-associated genome surveillance complex(BASC), which contains BRCA1, MSH2, MSH6, MLH1, ATM, BLM, PMS2 andthe RAD50-MRE11-NBS1 protein complex. This association could be adynamic process changing throughout the cell cycle and withinsubnuclear domains. Interacts with ubiquitinated FANCD2. Interactswith RMI complex. Interacts directly with RMI1 component of RMIcomplex. Interacts with SUPV3L1. Subcellular Location: Nucleus. Post-translational modifications: Phosphorylated in response to DNA damage. Phosphorylation requires the FANCA-FANCC-FANCE-FANCF-FANCG protein complex, as well as the presence of RMI1. DISEASE: Defects in BLM are the cause of Bloom syndrome (BLM) [MIM:210900]. BLM is an autosomal recessive disorder characterized by proportionate pre- and postnatal growth deficiency, sun-sensitive telangiectatic hypo- and hyperpigmented skin, predisposition to malignancy, and chromosomal instability. Similarity: Belongs to the helicase family. RecQ subfamily. Contains 1 helicase ATP-binding domain. Contains 1 helicase C-terminal domain. Contains 1 HRDC domain. SWISS: P54132 Gene ID: 641 Database links: Entrez Gene: 641 Human Entrez Gene: 12144 Mouse Omim: 604610 Human SwissProt: P54132 Human SwissProt: O88700 Mouse Unigene: 725208 Human Unigene: 12932 Mouse Important Note: This product as supplied is intended for research use only, not for use in human, therapeutic or diagnostic applications. |






