

貨號
產品規格
售價
備注
BN40622R-100ul
100ul
¥2360.00
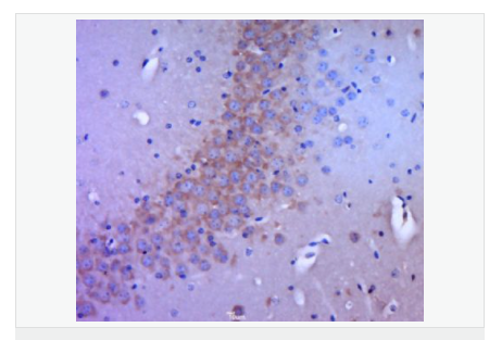
交叉反應:Human,Mouse,Rat(predicted:Dog,Pig,Cow,Horse,Rabbit,Sheep) 推薦應用:WB,IHC-P,IHC-F,IF,Flow-Cyt
BN40622R-200ul
200ul
¥3490.00
交叉反應:Human,Mouse,Rat(predicted:Dog,Pig,Cow,Horse,Rabbit,Sheep) 推薦應用:WB,IHC-P,IHC-F,IF,Flow-Cyt
產品描述
| 英文名稱 | PSD95 |
| 中文名稱 | 突觸后密度蛋白95抗體 |
| 別 名 | Discs large homolog 4; Disks large homolog 4; DLG 4; DLG4; DLG4_HUMAN; FLJ97752; FLJ98574; Human post synaptic density protein 95; Human post-synaptic density protein 95; Post synaptic density protein 95; Postsynaptic density protein 95; PSD 95; PSD-95; PSD95; SAP 90; SAP-90; SAP90; Synapse associated protein 90; Synapse-associated protein 90; Tax interaction protein 15. |
| 研究領域 | 細胞生物 免疫學 神經生物學 |
| 抗體來源 | Rabbit |
| 克隆類型 | Polyclonal |
| 交叉反應 | Human, Mouse, Rat, (predicted: Dog, Pig, Cow, Horse, Rabbit, Sheep, ) |
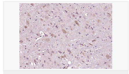
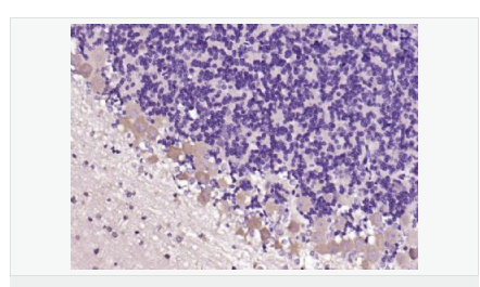
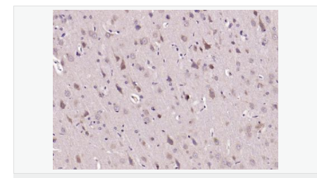
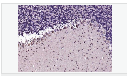
| 產品應用 | WB=1:500-2000 IHC-P=1:100-500 IHC-F=1:100-500 Flow-Cyt=1μg/Test ICC=1:100-500 IF=1:100-500 (石蠟切片需做抗原修復) not yet tested in other applications. optimal dilutions/concentrations should be determined by the end user. |
| 分 子 量 | 80kDa |
| 細胞定位 | 細胞膜 |
| 性 狀 | Liquid |
| 濃 度 | 1mg/ml |
| 免 疫 原 | KLH conjugated synthetic peptide derived from human PSD95:351-450/724 |
| 亞 型 | IgG |
| 純化方法 | affinity purified by Protein A |
| 儲 存 液 | 0.01M TBS(pH7.4) with 1% BSA, 0.03% Proclin300 and 50% Glycerol. |
| 保存條件 | Shipped at 4℃. Store at -20 °C for one year. Avoid repeated freeze/thaw cycles. |
| PubMed | PubMed |
| 產品介紹 | This gene encodes a member of the membrane-associated guanylate kinase (MAGUK) family. It heteromultimerizes with another MAGUK protein, DLG2, and is recruited into NMDA receptor and potassium channel clusters. These two MAGUK proteins may interact at postsynaptic sites to form a multimeric scaffold for the clustering of receptors, ion channels, and associated signaling proteins. Multiple transcript variants encoding different isoforms have been found for this gene. [provided by RefSeq, Jul 2008] Function: Interacts with the cytoplasmic tail of NMDA receptor subunits and shaker-type potassium channels. Required for synaptic plasticity associated with NMDA receptor signaling. Overexpression or depletion of DLG4 changes the ratio of excitatory to inhibitory synapses in hippocampal neurons. May reduce the amplitude of ACCN3 acid-evoked currents by retaining the channel intracellularly. May regulate the intracellular trafficking of ADR1B. Subunit: Interacts with ANKS1B, KLHL17 and PRR7. Interacts through its PDZ domains with NETO1. Interacts through its first two PDZ domains with GRIN2A, GRIN2B, GRIN2C, GRIN2D, ACCN3, certain splice forms of GRIN1, KCND2, CXADR and SYNGAP1. Interacts through its second PDZ domain with the PDZ domain of NOS1 or the C-terminus of CAPON. May interact with HTR2A. Interacts through its guanylate kinase-like domain with DLGAP1/GKAP, DLGAP2, DLGAP3, DLGAP4, MAP1A and BEGAIN. Interacts through its third PDZ domain with CRIPT (By similarity). Interacts through its first two PDZ domains with KCNA1, KCNA2, KCNA3, KCNA4 and ERBB4. Interacts through its first PDZ domain with GRIK2, KCNA4 and CRIPT. Interacts through its third PDZ domain with NLGN1, and probably with NLGN2 and NLGN3. Interacts through its guanylate kinase-like domain with KIF13B. Isoform 2 interacts through an L27 domain with HGS/HRS and the first L27 domain of CASK. Interacts with LRFN1, LRFN2 and LRFN4. Interacts with ANO2, ADAM22 and LGI1. Interacts with FRMPD4 (via C-terminus). Interacts (via PDZ1 and PDZ2 domains) with LRRC4; LRRC4B and SEMA4C. Interacts (via guanylate kinase-like domain) with SIPA1L1. Subcellular Location: Cell membrane; Peripheral membrane protein. Cell junction, synapse, postsynaptic cell membrane, postsynaptic density. Cell junction, synapse. Cell junction, synapse, synaptosome. Note=High levels in postsynaptic density of neurons in the forebrain. Also in presynaptic region of inhibitory synapses formed by cerebellar basket cells on axon hillocks of Purkinje cells. Tissue Specificity: Brain. Post-translational modifications: Palmitoylation of isoform 1 is required for targeting to postsynaptic density. Similarity: Belongs to the MAGUK family. Contains 1 guanylate kinase-like domain. Contains 3 PDZ (DHR) domains. Contains 1 SH3 domain. SWISS: P78352 Gene ID: 1742 Database links: Entrez Gene: 1742 Human Entrez Gene: 13385 Mouse Omim: 602887 Human SwissProt: P78352 Human SwissProt: Q62108 Mouse Unigene: 463928 Human Unigene: 27256 Mouse Unigene: 9765 Rat Important Note: This product as supplied is intended for research use only, not for use in human, therapeutic or diagnostic applications. 該蛋白質PSD95能夠幫助建立神經突觸的架構,并且促成突觸其他部分的成熟,例如加強目標細胞上的glutamate受體的聚集、增加樹突棘(dendritic spines)的數量和大小以及增加神經傳導物質glutamate (谷氨酸鹽)釋放的量。這種蛋白質與阿滋海默癥有關。 |








