

貨號
產品規格
售價
備注
BN40613R-100ul
100ul
¥2360.00
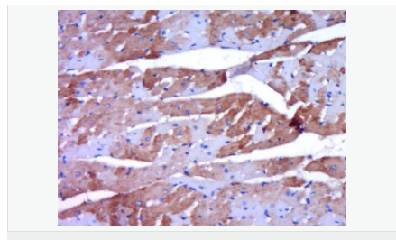
交叉反應:Human,Mouse,Rat(predicted:Dog,Rabbit) 推薦應用:WB,IHC-P,IHC-F,ICC,IF,ELISA
BN40613R-200ul
200ul
¥3490.00
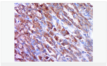
交叉反應:Human,Mouse,Rat(predicted:Dog,Rabbit) 推薦應用:WB,IHC-P,IHC-F,ICC,IF,ELISA
產品描述
| 英文名稱 | OPG |
| 中文名稱 | 骨保護蛋白/護骨素抗體 |
| 別 名 | MGC29565; OCIF; OPG; Osteoclastogenesis Inhibitory Factor; TNFRSF 11B; TNFRSF11B; TR 1; TR1; Tumor Necrosis Factor Receptor Superfamily Member 11b; TR11B_HUMAN. |
| 研究領域 | 腫瘤 細胞生物 免疫學 信號轉導 骨髓細胞 |
| 抗體來源 | Rabbit |
| 克隆類型 | Polyclonal |
| 交叉反應 | Human, Mouse, Rat, (predicted: Dog, Rabbit, ) |
| 產品應用 | WB=1:500-2000 ELISA=1:5000-10000 IHC-P=1:100-500 IHC-F=1:100-500 ICC=1:100-500 IF=1:100-500 (石蠟切片需做抗原修復) not yet tested in other applications. optimal dilutions/concentrations should be determined by the end user. |
| 分 子 量 | 44kDa |
| 細胞定位 | 分泌型蛋白 |
| 性 狀 | Liquid |
| 濃 度 | 1mg/ml |
| 免 疫 原 | KLH conjugated synthetic peptide derived from human OPG:201-300/401 |
| 亞 型 | IgG |
| 純化方法 | affinity purified by Protein A |
| 儲 存 液 | 0.01M TBS(pH7.4) with 1% BSA, 0.03% Proclin300 and 50% Glycerol. |
| 保存條件 | Shipped at 4℃. Store at -20 °C for one year. Avoid repeated freeze/thaw cycles. |
| PubMed | PubMed |
| 產品介紹 | Osteoprotegerin (OPG, or osteoclastogenesis inhibitory factor) is a secretory glycoprotein belonging to TNF receptor superfamily. Acts as decoy receptor for RANKL and thereby neutralizes its function in osteoclastogenesis. Inhibits the activation of osteoclasts and promotes osteoclast apoptosis. Bone homeostasis seems to depend on the local RANKL/OPG ratio. May also play a role in preventing arterial calcification. May act as decoy receptor for TRAIL and protect against apoptosis. TRAIL binding blocks the inhibition of osteoclastogenesis. OPG acts as a soluble factor in the regulation of bone mass and may be beneficial in the treatment of osteoporosis with increased osteoclast activity. OPG consists of 401 amino acids with a molecular weight of 44 kDa as a monomer and 90 kDa as a disulphide-linked dimer. Function: Acts as decoy receptor for RANKL and thereby neutralizes its function in osteoclastogenesis. Inhibits the activation of osteoclasts and promotes osteoclast apoptosis in vitro. Bone homeostasis seems to depend on the local RANKL/OPG ratio. May also play a role in preventing arterial calcification. May act as decoy receptor for TRAIL and protect against apoptosis. TRAIL binding blocks the inhibition of osteoclastogenesis. Subunit: Homodimer. Subcellular Location: Secreted. Tissue Specificity: Highly expressed in adult lung, heart, kidney, liver, spleen, thymus, prostate, ovary, small intestine, thyroid, lymph node, trachea, adrenal gland, testis, and bone marrow. Detected at very low levels in brain, placenta and skeletal muscle. Highly expressed in fetal kidney, liver and lung. Post-translational modifications: N-glycosylated. Contains sialic acid residues. The N-terminus is blocked. DISEASE: Defects in TNFRSF11B are the cause of juvenile Paget disease (JPD) [MIM:239000]; also known as hyperostosis corticalis deformans juvenilis or hereditary hyperphosphatasia or chronic congenital idiopathic hyperphosphatasia. JPD is a rare autosomal recessive osteopathy that presents in infancy or early childhood. The disorder is characterized by rapidly remodeling woven bone, osteopenia, debilitating fractures, and deformities due to a markedly accelerated rate of bone remodeling throughout the skeleton. Approximately 40 cases of JPD have been reported worldwide. Unless it is treated with drugs that block osteoclast-mediated skeletal resorption, the disease can be fatal. Similarity: Contains 2 death domains. Contains 4 TNFR-Cys repeats. SWISS: O00300 Gene ID: 4982 Database links: Entrez Gene: 4982 Human Omim: 602643 Human SwissProt: O00300 Human Unigene: 81791 Human Important Note: This product as supplied is intended for research use only, not for use in human, therapeutic or diagnostic applications. 護骨素又稱護骨因子(osteorotegenin,OPG)、骨保護蛋白、破骨細胞生成抑制因子、骨保護素、破骨細胞抑制生成因子(osteoclastogenesis inhibitory factor,OCIF) OPG屬于TNF受體超家族,主要功能是抑制破骨細胞的分化、成熟破骨細胞的骨吸收活性,并誘導其凋亡。 |





