

貨號
產品規格
售價
備注
BN40441R-100ul
100ul
¥2360.00
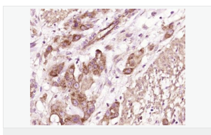
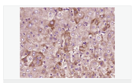
交叉反應:Human,Mouse(predicted:Rat,Dog,Pig,Cow,Horse,Rabbit) 推薦應用:WB,IHC-P,IHC-F,ICC,IF,ELISA
BN40441R-200ul
200ul
¥3490.00
交叉反應:Human,Mouse(predicted:Rat,Dog,Pig,Cow,Horse,Rabbit) 推薦應用:WB,IHC-P,IHC-F,ICC,IF,ELISA
產品描述
| 英文名稱 | CRISP10 |
| 中文名稱 | 富含半胱氨酸分泌蛋白10抗體 |
| 別 名 | CRISPLD1; CocoaCrisp; CRISP 10; CRISP-10; CRISP10; CRISPLD 1; Crispld1; CRLD1_HUMAN; Cysteine rich secretory protein 10; Cysteine rich secretory protein LCCL domain containing 1; Cysteine-rich secretory protein 10; Cysteine-rich secretory protein LCCL domain-containing 1; LCCL domain containing cysteine rich secretory protein 1; LCCL domain-containing cysteine-rich secretory protein 1; LCRISP1; Trypsin inhibitor Hl; UNQ342/PRO541. |
| 研究領域 | 細胞生物 信號轉導 轉錄調節因子 |
| 抗體來源 | Rabbit |
| 克隆類型 | Polyclonal |
| 交叉反應 | Human, Mouse, (predicted: Rat, Dog, Pig, Cow, Horse, Rabbit, ) |
| 產品應用 | WB=1:500-2000 ELISA=1:5000-10000 IHC-P=1:100-500 IHC-F=1:100-500 ICC=1:100-500 IF=1:100-500 (石蠟切片需做抗原修復) not yet tested in other applications. optimal dilutions/concentrations should be determined by the end user. |
| 分 子 量 | 54kDa |
| 細胞定位 | 細胞漿 |
| 性 狀 | Liquid |
| 濃 度 | 1mg/ml |
| 免 疫 原 | KLH conjugated synthetic peptide derived from human CRISP10:301-400/500 |
| 亞 型 | IgG |
| 純化方法 | affinity purified by Protein A |
| 儲 存 液 | 0.01M TBS(pH7.4) with 1% BSA, 0.03% Proclin300 and 50% Glycerol. |
| 保存條件 | Shipped at 4℃. Store at -20 °C for one year. Avoid repeated freeze/thaw cycles. |
| PubMed | PubMed |
| 產品介紹 | Cysteine-rich secretory proteins (CRISPs) represent a family of evolutionarily conserved proteins which may play a role in the innate immune system and are transcriptionally regulated by androgens in several tissues. CRISP proteins are highly expressed in the mammalian reproductive tract and in the venom secretory ducts of some reptiles. CRISP-10 (cysteine-rich secretory protein 10), also known as CocoaCrisp and Trypsin inhibitor Hl, is a 500 amino acid protein containing 2 LCCL domains, which are thought to function as autonomous folding domains used to construct modular proteins through exon shuffling. CRISP-10 differs from other CRISP proteins in that it does not contain the 10 conserved cysteine residues or ICR domains that are usually conserved throughout the CRISP family. Subcellular Location: Secreted. Similarity: Belongs to the CRISP family. Contains 2 LCCL domains. SWISS: Q9H336 Gene ID: 83690 Database links: Entrez Gene: 83690 Human SwissProt: Q9H336 Human Unigene: 436542 Human Important Note: This product as supplied is intended for research use only, not for use in human, therapeutic or diagnostic applications. |


