

貨號
產品規格
售價
備注
BN40329R-100ul
100ul
¥2360.00
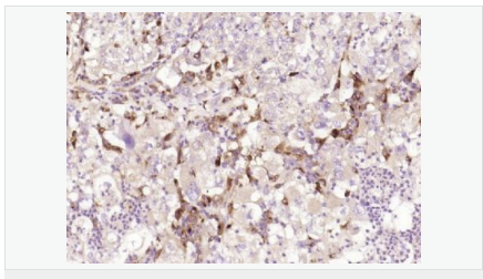
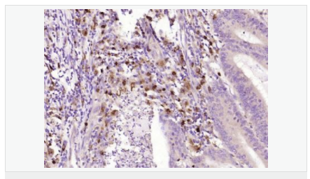
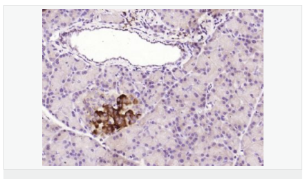
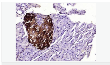
交叉反應:Human,Mouse,Rat(predicted:Pig,Horse,Rabbit) 推薦應用:WB,IHC-P,IHC-F,ICC,IF,ELISA
BN40329R-200ul
200ul
¥3490.00
交叉反應:Human,Mouse,Rat(predicted:Pig,Horse,Rabbit) 推薦應用:WB,IHC-P,IHC-F,ICC,IF,ELISA
產品描述
| 英文名稱 | SPR |
| 中文名稱 | 墨蝶蛉還原酶抗體 |
| 別 名 | SDR38C1; Sepiapterin reductase (7,8 dihydrobiopterin:NADP+ oxidoreductase); Sepiapterin reductase; Short chain dehydrogenase/reductase family 38C, member 1; SPR; SPRE_HUMAN. |
| 研究領域 | 腫瘤 細胞生物 神經生物學 信號轉導 新陳代謝 |
| 抗體來源 | Rabbit |
| 克隆類型 | Polyclonal |
| 交叉反應 | Human, Mouse, Rat, (predicted: Pig, Horse, Rabbit, ) |
| 產品應用 | WB=1:500-2000 ELISA=1:5000-10000 IHC-P=1:100-500 IHC-F=1:100-500 ICC=1:100-500 IF=1:100-500 (石蠟切片需做抗原修復) not yet tested in other applications. optimal dilutions/concentrations should be determined by the end user. |
| 分 子 量 | 28kDa |
| 細胞定位 | 細胞漿 |
| 性 狀 | Liquid |
| 濃 度 | 1mg/ml |
| 免 疫 原 | KLH conjugated synthetic peptide derived from human Sepiapterin reductase:101-200/261 |
| 亞 型 | IgG |
| 純化方法 | affinity purified by Protein A |
| 儲 存 液 | 0.01M TBS(pH7.4) with 1% BSA, 0.03% Proclin300 and 50% Glycerol. |
| 保存條件 | Shipped at 4℃. Store at -20 °C for one year. Avoid repeated freeze/thaw cycles. |
| PubMed | PubMed |
| 產品介紹 | This gene encodes an aldo-keto reductase that catalyzes the NADPH-dependent reduction of pteridine derivatives and is important in the biosynthesis of tetrahydrobiopterin (BH4). Mutations in this gene result in DOPA-responsive dystonia due to sepiaterin reductase deficiency. A pseudogene has been identified on chromosome 1. [provided by RefSeq, Jul 2008] Function: Catalyzes the final one or two reductions in tetra-hydrobiopterin biosynthesis to form 5,6,7,8-tetrahydrobiopterin. Subunit: Homodimer. Subcellular Location: Cytoplasm. Post-translational modifications: In vitro phosphorylation of Ser-213 by CaMK2 does not change kinetic parameters. DISEASE: Defects in SPR are the cause of dystonia DOPA-responsive due to sepiapterin reductase deficiency (DRDSPRD) [MIM:612716]. In the majority of cases, patients manifest progressive psychomotor retardation, dystonia and spasticity. Cognitive anomalies are also often present. The disease is due to severe dopamine and serotonin deficiencies in the central nervous system caused by a defect in BH4 synthesis. Dystonia is defined by the presence of sustained involuntary muscle contractions, often leading to abnormal postures. Similarity: Belongs to the sepiapterin reductase family. SWISS: P35270 Gene ID: 6697 Database links: Entrez Gene: 6697 Human Omim: 182125 Human SwissProt: P35270 Human Unigene: 301540 Human Important Note: This product as supplied is intended for research use only, not for use in human, therapeutic or diagnostic applications. |




