

貨號
產品規格
售價
備注
BN40298R-100ul
100ul
¥2360.00
交叉反應:Human,Mouse(predicted:Rat,Dog,Pig,Cow,Horse,Rabbit,Sheep) 推薦應用:WB,IHC-P,IHC-F,ICC,IF,ELISA
BN40298R-200ul
200ul
¥3490.00
交叉反應:Human,Mouse(predicted:Rat,Dog,Pig,Cow,Horse,Rabbit,Sheep) 推薦應用:WB,IHC-P,IHC-F,ICC,IF,ELISA
產品描述
| 英文名稱 | PCYT1A |
| 中文名稱 | 磷酸乙醇胺轉移酶A抗體 |
| 別 名 | CCT A; CCT alpha; CCT-alpha; Choline phosphate cytidylyltransferase A; Choline-phosphate cytidylyltransferase A; CT A; CT antibody CTP:phosphocholine cytidylyltransferase A; CTPCT; PCY1A_HUMAN; PCYT1; Pcyt1a; Phosphate cytidylyltransferase 1 choline alpha; Phosphate cytidylyltransferase 1 choline alpha isoform; Phosphorylcholine transferase A. |
| 研究領域 | 腫瘤 神經生物學 信號轉導 生長因子和激素 Alzheimer's |
| 抗體來源 | Rabbit |
| 克隆類型 | Polyclonal |
| 交叉反應 | Human, Mouse, (predicted: Rat, Dog, Pig, Cow, Horse, Rabbit, Sheep, ) |
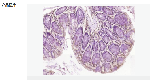
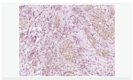
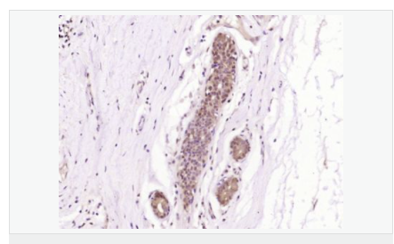
| 產品應用 | WB=1:500-2000 ELISA=1:5000-10000 IHC-P=1:100-500 IHC-F=1:100-500 ICC=1:100-500 IF=1:100-500 (石蠟切片需做抗原修復) not yet tested in other applications. optimal dilutions/concentrations should be determined by the end user. |
| 分 子 量 | 42kDa |
| 細胞定位 | 細胞漿 細胞膜 |
| 性 狀 | Liquid |
| 濃 度 | 1mg/ml |
| 免 疫 原 | KLH conjugated synthetic peptide derived from human PCYT1A :201-300/367 |
| 亞 型 | IgG |
| 純化方法 | affinity purified by Protein A |
| 儲 存 液 | 0.01M TBS(pH7.4) with 1% BSA, 0.03% Proclin300 and 50% Glycerol. |
| 保存條件 | Shipped at 4℃. Store at -20 °C for one year. Avoid repeated freeze/thaw cycles. |
| PubMed | PubMed |
| 產品介紹 | Increase in fetal surfactant synthesis and lung maturity is caused by the glucocorticoidal induction of enzymes required for phosphatidylcholine synthesis towards the end of gestation (1). The regulation of gestational age-dependent induction of phosphatidylcholine synthesis by glucocorticoids is still unclear (1). The rate-controlling enzyme in the phosphatidylcholine biosynthetic pathway is CTP-phosphocholine cytidylyltransferase A (CCT A) (2–4). In cultured eukaryotic cells, this enzyme is essential for survival (3). The alpha isoform is located in the nucleus and is regulated by reversible phosphorylation and membrane association (3). There is significant identity between the alpha-helical membrane-binding domains of CCT A and soybean oleosin (2). Expressed CCT A has lipid-dependent cytidylyltransferase activity (5). The gene which encodes CCT A maps to human chromosome 3q (4). Function: Controls phosphatidylcholine synthesis. Subunit: Homodimer. Subcellular Location: Cytoplasm; cytosol. Membrane. It can interconvert between an inactive cytosolic form and an active membrane-bound form. Post-translational modifications: The serine residues of the C-terminus are phosphorylated. The inactive soluble form is stabilized by phosphorylation, the active membrane bound form is promoted by anionic lipids or diacylglycerol, and is stabilized by dephosphorylation. Similarity: Belongs to the cytidylyltransferase family. SWISS: P49585 Gene ID: 5130 Database links: Entrez Gene: 5130 Human Entrez Gene: 13026 Mouse Omim: 123695 Human SwissProt: P49585 Human SwissProt: P49586 Mouse Unigene: 135997 Human Unigene: 98775 Mouse Important Note: This product as supplied is intended for research use only, not for use in human, therapeutic or diagnostic applications. |


